All-on-4 and All-on-6 Treatments: Who Are They Suitable For?
All-on-4 and All-on-6 treatments offer ideal solutions for individuals experiencing complete edentulism or patients whose existing teeth have lost their function. These treatments are suitable for patients with the following conditions:
•Patients who have lost or are about to lose all their teeth
•Patients who cannot receive conventional implant treatment due to insufficient bone density
•Patients who want a faster solution and do not want to wait for a long time
•Patients who want a fixed prosthesis instead of a removable removable prosthesis
•Patients who want an aesthetic and functional smile
- Expert Team
- Personalized Treatment Plan for Each Patient
- Long Term Solution
- Advanced Technology Utilization
Bloomıng Smıles
All-on-4 and All-on-6 Treatment Process and Benefits
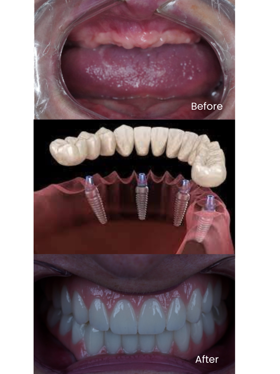
The All-on-4 and All-on-6 concepts are modern implant treatments developed for completely edentulous patients. Unlike traditional implant treatments, it involves the placement of a fixed prosthesis on 4 or 6 implants that are angled and strategically placed in the jawbone.
All-on-4 Treatment
A fixed prosthesis for edentulous patients is created by placing 4 implants in the upper or lower jaw.
All-on-6 Treatment
Depending on the density of the jawbone, 6 implants are used to make a stronger and more balanced prosthesis.
Bloomıng Smıles
Treatment Process
Implant treatment is a modern and permanent solution that uses artificial tooth roots placed in the jawbone to replace missing teeth. The treatment process consists of several stages:
1
Inspection and Planning
Digital scans and clinical evaluations are performed and a patient-specific treatment plan is created.
2
Implant Placement
Under local anesthesia, implants are placed in the jawbone at strategic angles.
3
Same Day Fixed Prosthesis Application
A patient-specific temporary fixed prosthesis is placed on the implants on the same day, allowing the patient to quickly adapt to their daily life.
4
Permanent Prosthesis Placement
After osseointegration is completed, permanent and durable prostheses are applied to the patient
Advantages of All-on-4 and All-on-6 Treatments
Fixed Teeth on the Same Day: Instead of the waiting period that can take months in traditional implant treatments, patients can have fixed dentures on the same day thanks to All-on-4 and All-on-6 methods.
•Less Implants, More Comfort: Implants placed at specific angles depending on the density and quality of the jawbone provide strong retention without the need for bone graft.
•Fast and Reliable Solution: Especially for patients with complete edentulousness, it provides a great advantage in terms of time to achieve a functional and aesthetic smile.
•Easier Care and Use: It can be cleaned similar to daily dental care and offers a more comfortable use compared to traditional full dentures.
Healthy Smiles with All-on-4 and All-on-6 Implant Treatments
Implants and implant prostheses eliminate the functional and aesthetic problems associated with tooth loss, giving patients a natural, solid and healthy smile. Modern implant solutions such as All-on-4 and All-on-6 provide a fast and comfortable treatment process.
In our clinic, we offer our patients the most precise, comfortable and fast treatment options using the latest digital technologies. If you would like to learn more about implant treatment and tooth loss solutions, please contact us.
Faster and More Precise Results with Digital Measurement
In our clinic, in All-on-4 and All-on-6 treatments, we digitally take impressions in the same session after the implants are placed in the jawbone. In this process, we use both intraoral and extraoral digital cameras to obtain the most precise and comfortable impressions.
•Metric System: We record the spatial position of the implants in the most accurate way by scanning with our extraoral camera.
•Intraoral Digital Scanning: At the same time, we take detailed images of the gums and soft tissues with the intraoral camera and process this data through advanced software to produce prostheses that are perfectly compatible with the implants.
This digital workflow allows us to provide a faster, more comfortable and precise treatment process, allowing our patients to receive their new fixed teeth on the same day.
we are here for all your questions
We are ready to help you with all aspects of your dental health.
Who can choose All-on-4 and All-on-6 treatment?
All-on-4 and All-on-6 treatment is an ideal option for patients who have lost or are about to lose their teeth, have insufficient bone density and cannot undergo traditional implant treatment. In addition, patients who want fixed teeth and are looking for an aesthetic and functional smile can benefit from this treatment. Your doctor's assessment is important for eligibility for treatment.
How long does the treatment process take and how is the recovery process?
All-on-4 and All-on-6 treatment usually offers a fast treatment process. Following the placement of the implants, fixed teeth are fitted the same day. The healing process usually takes a few weeks to a few months, but most patients can return to their normal lives soon after treatment. Your doctor will recommend regular check-ups to better monitor the healing process.
What is the difference between All-on-4 and All-on-6 treatments?
In All-on-4 treatment, four implants are placed in the jawbone, while All-on-6 treatment uses six implants. All-on-6 is particularly preferred for patients who require more support. Both methods provide a strong foundation for fixed prostheses, but the All-on-6 treatment offers more stability by using more implants.
Contact us for more information!
Explore our easy-to-reach contact options to answer your questions and book an appointment.